美国求医,骨外尤文肉瘤患者的对抗史
日期:2015/4/14 14:44:32 作者: 阅读次数:1048
黎明就在眼前:16岁花季少年与骨外尤文肉瘤的5年对抗史
—— 记与美国肿瘤科专家阿伦·辛格医学博士的远程视频会诊
摘要
17岁,正当花样年华,浪漫而美好,本该对未来充满无限憧憬,然而来自北京的小北(化名)却早已失去了同邻人该有的活泼开朗和乐观积极。5年前的一次检查彻底改变了这个当时年仅12岁的孩子的生活。
病人病情自述
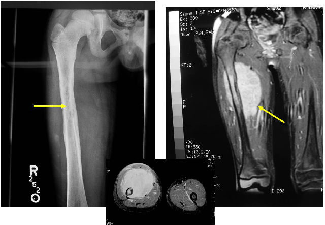
2010年1月,我开始发现自己右侧股骨不对劲,伴有疼痛感,就医后经过一系列检查最终被确诊为骨外尤文肉瘤/原始神经外胚层瘤,接受了右大腿病灶手术切除以及6个疗程的辅助化疗。然而2014年,左胫骨也不幸出现了破坏性病灶,肿瘤复发,4年多的奔波就医,早已让我和我的家人疲惫不堪。我才16岁啊,未来的路还很长,我该怎么“走”下去……
选择好医友
2015年2月,在我的左胫排骨MRI扫描中,发现破坏性病变和异常软组织信号影,病灶周围骨质及软组织水肿,并见区域性坏死灶,影像诊断可能为转移瘤。这对于我和家人而言无疑是当头棒喝,寻求更先进的医疗技术和更好的治疗方案成为了当务之急。在一个朋友的介绍下,我们知道了“好医友”国际医疗平台,在进行了相关了解之后,便与他们取得了联系,希望能通过这个平台和美国相关专科医生进行远程视频会诊。
在我提交了这几年求医问诊的相关病历资料之后,由好医友工作人员协助整理翻译并上传到电子病历管理系统,而美国加州的张维明博士则根据我的情况邀请了血液、肿瘤科专家阿伦·辛格医学博士来审阅评估,并为我提供治疗建议。阿伦·辛格医学博士拥有美国内科医学会(American Board of Internal Medicine)三重认证的血液科、肿瘤科和内科专科医师资格,并且他着重于研发针对肉瘤患者的新疗法,拥有多年丰富的专科临床经验,深受患者的认可和青睐。
视频会诊
在做好前期准备工作(病历整理翻译——上传云端病历库——美国医生预先查阅——视频测试指导)之后,好医友工作人员和我确认了最终视频时间为2015年3月4日上午9:30。
这一天对于我来说,就仿佛在经历了黑暗中的不断奔跑之后终于看到了久违的阳光和希望。本来国内辗转5年的求医历程已经让我和家人都力不从心了,然而通过这次和阿伦·辛格医学博士详细的远程视频会诊又让我重拾勇气,有信心和病魔继续抗争下去。
细致而人性化的问诊
俗话说:良言一句三冬暖,而医生的一句良言,给病人带来的又何止是三冬温暖,有时更是如同给了患者第二次生命。当我第一次从视频里看到阿伦·辛格医生时,他脸上温和的微笑让我感受到了真实的平等、尊重和亲切。其实在和我进行远程视频会诊之前他已经阅读过我的病历资料了,但在这次视频会诊时他不仅再一次详细地询问了我以前的治疗过程和用药方案,同时还结合我的家族病史、既往病史、既往手术史、过敏史和个人社会史(是否吸烟、喝酒)等进行了详细的了解,整个过程他的专业和友好让我感受到了自己在医生面前是一个受到尊敬的人而非仅仅是一个躯体。
对于肿瘤患者而言,一位肿瘤专家几句温暖体贴的话对癌症患者了解病情、配合治疗起到的帮助是不可小觑的。这也是为什么美国的肿瘤成活率居世界首位,达到三分之二左右的病人能够长期存活的主要原因。因为病人对医生的信心是非常坚定的,他们认为医生和自己是同一条战壕的战友,他们相信医生会为他们的健康和生存做最大努力的,而美国医生也确实是这样做的。
专业的治疗方案和建议
病情现状:
因右大腿骨外尤文肉瘤/原始神经外胚层瘤而做了手术和辅助化疗,现在左胫骨也出现了破坏性病灶。
疾病确诊:
鉴于免疫组织化学标志和我的年龄,阿伦·辛格医生认为尤文肉瘤/原始神经外胚层瘤的诊断看似正确的,虽然核磁共振扫描显示我左胫骨有新病灶,但这个病灶之前的活检尚无定论,就这个病灶的大小,MRI影像的特点以及FDG活动性病变,他认为转移性尤文肉瘤/原始神经外胚层瘤,具有临床意义。
治疗方案:
1、阿伦·辛格医生建议使用VDC(长春新碱+多柔比星+环磷酰胺)/IE(异环磷酰胺+依托泊苷)方案化疗,即VDC方案与IE方案交替使用(VDC用于第1、第3、第5周期等,IE用于第1、第4、第6周期等)。方案之间的周期间隔如果可以就隔2周,如果血细胞数难以快速回复就间隔3周。
开始先做3个周期的化疗,即2周期VDC和1周期IE,再观察评估(影像学)是否对肿瘤起到相应治疗效果。如果治疗后临床症状有改善并且影像学检查肿瘤有缩小,证明此方案对于肿瘤治疗有效,将完成整个6个周期的的化疗,在这个化疗完成后再评估是否做手术(加/不加放疗),前提是PET-CT扫描没有显示出现其他部位的病变或者转移灶。如果这个化疗方案是有效的,在手术或者放疗过后,阿伦·辛格医生将会加一个额外的8个周期的辅助化疗,加上之前的6个周期,一共是14个周期的VDC/IE方案的化疗。
2、而如果我对现在这个化疗方案无明显反应或者效果不理想,医生认为二线化疗对我来说可能是:伊立替康+替莫唑胺,或者是:吉西他滨+多西紫杉醇,临床研究现在正在做聚腺苷二磷酸核糖聚合酶抑制剂+替莫唑胺作为无明显反应一线方案患者的二线选择。
饮食指导:
结束远程视频会诊之后,阿伦·辛格医生充分征求了我的意见,为我量身定制了治疗计划和备用方案。报告里除了具体的病情评估和详细的治疗建议,阿伦•辛格医生还特地列出了一份针对癌症化疗患者的饮食指导供我参考,倍感受用。(详见附录)
附录: DIET FOR CANCER PATIENTS ON CHEMOTHERAPY
癌症化疗患者的饮食指导
A Neutropenic is recommended for patients on chemotherapy. Avoid foods that can cause food-borne illness. These include unpasteurized dairy products and juices, cheese with mold or uncooked vegetables, pickled foods, or raw nuts in shells. Use clean purified water not from wells.
进行化疗的患者需要注意是否出现中性粒细胞减少的情况。避免可能引起食源性疾病的食物。包括未经高温消毒的乳制品和果汁,模具奶酪或生蔬菜、腌制食品,或果壳类坚果。使用干净的纯净水,不能用井水。
According to the National Cancer Institute, cancer patients need more calories and protein. They may limit fiber and consume high calorie foods to counteract some of the side effects of cancer treatment. The diet is the opposite recommended for those who want or need the stay healthy.
根据美国国家癌症研究所的建议,癌症患者需要更多的热量和蛋白质。他们可能会通过限制纤维和食用高热量食物来抵消癌症治疗的一些副作用。对于那些想要或需要保持健康的人来说,这个饮食建议是相反的。
Altered appetite and difficulty eating and tolerating certain foods can affect ability to get enough nutrients to prevent weight loss and muscle loss. Eat foods that are calorie dense can help get adequate calories when receiving chemotherapy.
改变胃口、进食困难、强忍吃某种食物都会影响获取足够营养以预防体重下降和肌肉流失。在化疗期间,进食卡路里食物可有助于提供足够的热量。
Instead of eating fresh fruits eat dried fruits, full-fat foods like nuts that contain a lot of calories and provide protein and essential vitamins and minerals. Make a shake out of those nuts and drink them if you have difficulty eating.
请用干果来代替新鲜水果,像坚果这类的全脂食品富含卡路里,且能提供人体必需的蛋白质、维生素和矿物质。如果进食困难,可以将各种坚果制成果浆喝。
Focus on foods that appeal, focus on calories and protein whenever able to tolerate eating. Try eating a larger meal when there is appetite, drink meal replacement shakes, drink lots of liquids especially when not eating. National Cancer Institute recommends drinking between 8 and 12 cups of water per day.
能多少吃得下的时候,一定要专注于口味好、富含热量和蛋白质的食物。食欲好时尝试更大分量的餐食,未进食的时候尽量补充足够液体。国家癌症机构推荐一天喝8到12杯水。
Canada’s British Columbia Cancer Society reminds chemotherapy patients to eat a proper balanced diet to help prevent weight loss, fight infection and provide energy to better manage therapy related side effects, but most important to a speedy recovery. A study in 2008 at the University of California found that apigenin a naturally occurring dietary agent found in vegetables and fruits such as apples, parsley, celery and even nuts can improve the response of cancer cells to chemotherapy. Use these fruits and vegetables to make soups or nut shakes.
加拿大不列颠哥伦比亚癌症协会提醒化疗患者要特别注意均衡饮食,预防体重下降,避免感染,提供足够的能量以抵抗化疗带来的副作用,最重要的是能加快身体的恢复。2008年加州大学的一项研究发现在一些蔬果中(如苹果、香菜、芹菜甚至坚果类的物质),存在“芹黄素”,一种天然的食疗剂,它能提高癌细胞对化疗的反应。所以请用这些水果蔬菜制作汤或果浆给患者服用。
Ease Side Effects with Foods:
1) Conquer constipation: drink lots of water and eating foods like dried fruits and cooked vegetables
2) Conquer diarrhea: eat bland foods like rice, apples and stay hydrated with plenty of water
3) Protect mouth sores: grinding or pureeing foods makes it easier to swallow, eat foods that are soft and mostly liquids like soups and milk or yogurt
4) Control nausea: bland foods without strong odors, go easy on too greasy foods, drink plenty of water if vomiting
利用食物来减轻化疗副作用:
1) 缓解便秘:喝大量的水,多吃干果及烹制的蔬菜。
2) 缓解腹泻:进食温和的食物,如米饭、苹果,并保证喝水足量。
3) 预防口腔溃疡:磨碎或研磨食物使它容易下咽,吃软的食物,多摄入液体,比如汤和牛奶或酸奶。
4) 控制恶心:服用温和无异味的食物,忌过油腻食物。如呕吐出现需注意及时补充足够水分,喝大量的水。






